Carolyn Carbasse

Carolina Carbasse

Carolina Carbasse

Carolina Carbasse

Acerca de la Dra Carolyn Carbasse.


Dentista specialista en estetica en Javea y denia desde 2002.
Caroline Carbasse es cirujana dental que ejerce en su clínica  Zen Smile Spa en Javea, España.

Confíe su sonrisa a las habilidades y 22  años de experiencia de la doctora Carolyn Carbasse, cirujana dental y especialista en el diseño
de la sonrisa, titulada de la prestigiosa universidad "Guy's Hospital" (King's College London KCL) de Londres.

La doctora Carolyn Carbasse le da la bienvenida de lunes a viernes en su consulta privada ubicado en la Calle Jorge Luis Borges, 8 bajo, 03730 Xàbia, Alicante.

 

La búsqueda de la sonrisa perfecta !


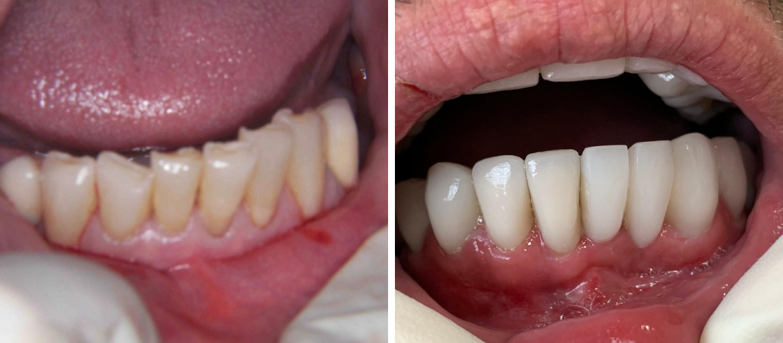
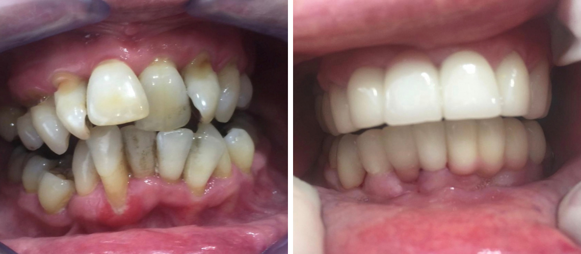
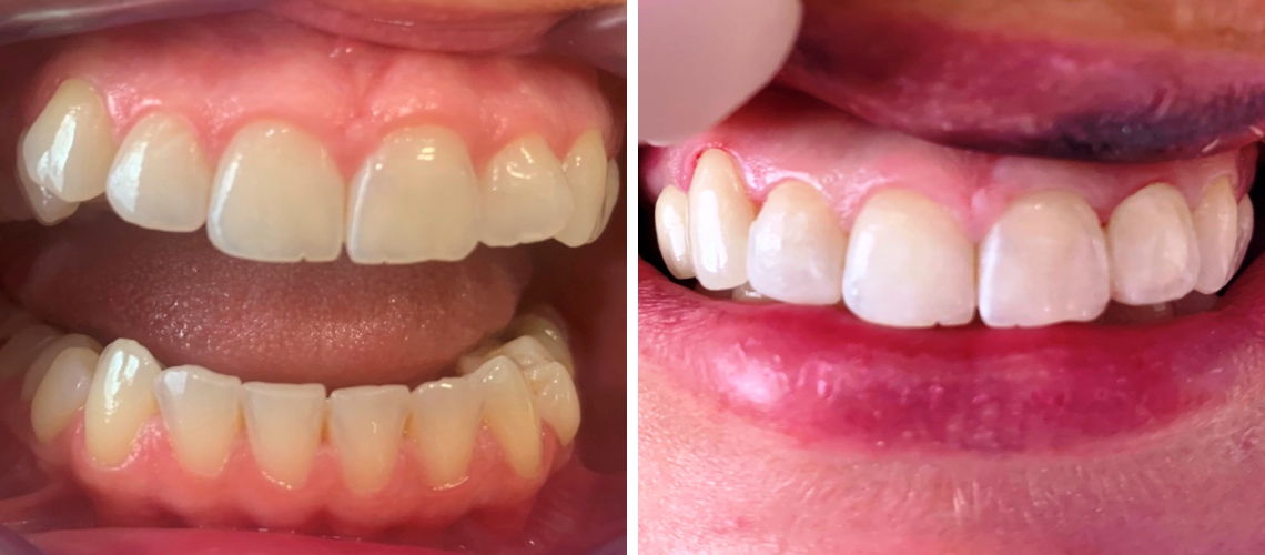
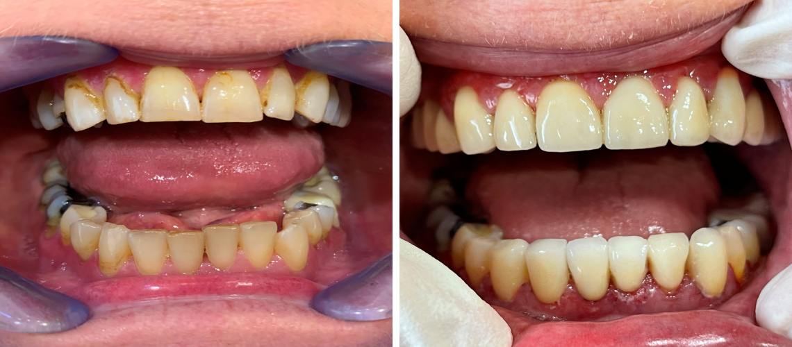
Todos los pacientes tratados por la Dra Carolyn Carbasse se benefician de un tratamiento personalizado que combina estética, funcionalidad y calidad. 
La meta de la Doctora Carolyn Carbasse es conseguir que todos sus pacientes  recuperan el deseo de sonreír, esto es posible mediante
un cuidadoso diagnóstico y seguimiento.
 

Un estudio a medida de cada paciente

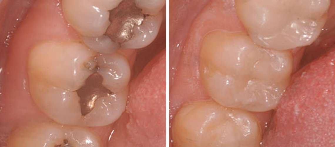
Dependiendo del estado de salud bucal del paciente, Dra Carolyn Carbasse utilizará los materiales más avanzados
de las últimas tecnologías para reconstruir una sonrisa perfecta.
 

Soluciones para todos

Dra Carolyn Carbasse es una reconocida cirujana dental  que ha realizado reconstrucciones y rehabilitaciones dentales en Francia , inglaterra y España .
La Dra Carolyn Carbasse realiza cursillos, actualizaciones y seminarios todos los años para ofrecer soluciones de vanguardia. Entre los diferentes
tratamientos podemos incluir implantes, prótesis, blanqueamiento dental, carillas dentales, coronas, empastes etc.
 

La Clínica Dental


Clínica :  ZEN SMILE DENTAL SPA
Dirección:  Calle Jorge Luis Borges, 8, bajo, 03730 Xàbia, Alicante
Teléfono:  965 79 38 10 - 66 55 06 009
Correo electrónico:  info@zensmilespa.es
Pagina web:  www.zenclinicadental@gmail.com

Dra Carolyn Carbasse : Estudios & Diplômas

Titulos

Cabinet dentaire

  • Clinique CLINICA - ZEN SMILE MEDICAL SPA
  • AdresseCarrer de Jorge Luis Borges, 8, loc b5 bis, 03730 Xàbia, Alicante
  • Téléphone 965 79 38 10
  • Emailinfo@zensmilespa.es
Carolina Carbasse : https://es.carolyncarbasse.com/caroline/photos/es/dentista-en-javea-carolina-carbasse-147.jpg Carolina Carbasse : https://es.carolyncarbasse.com/caroline/photos/es/carolina-carbasse-zen-smile-spa-30.jpg Carolina Carbasse : https://es.carolyncarbasse.com/caroline/photos/es/dentista-en-javea-carolina-carbasse-227.jpg Carolina Carbasse : https://es.carolyncarbasse.com/caroline/photos/es/zen-smile-spa-carolina-carbasse-180.jpg Carolina Carbasse : https://es.carolyncarbasse.com/caroline/photos/es/carolina-carbasse-zen-smile-spa-115.jpg Carolina Carbasse : https://es.carolyncarbasse.com/caroline/photos/es/dentista-en-javea-carolina-carbasse-184.jpg Carolina Carbasse : https://es.carolyncarbasse.com/caroline/photos/es/zen-smile-spa-carolina-carbasse-37.jpg Carolina Carbasse : https://es.carolyncarbasse.com/caroline/photos/es/zen-smile-spa-carolina-carbasse-474.jpg Carolina Carbasse : https://es.carolyncarbasse.com/caroline/photos/es/zen-smile-spa-carolina-carbasse-333.jpg Carolina Carbasse : https://es.carolyncarbasse.com/caroline/photos/es/carolina-carbasse-dentista-en-javea-53.jpg Carolina Carbasse : https://es.carolyncarbasse.com/caroline/photos/es/zen-smile-spa-carolina-carbasse-453.jpg Carolina Carbasse : https://es.carolyncarbasse.com/caroline/photos/es/carolina-carbasse-dentista-en-javea-51.jpg Carolina Carbasse : https://es.carolyncarbasse.com/caroline/photos/es/carolina-carbasse-dentista-en-javea-308.jpg Carolina Carbasse : https://es.carolyncarbasse.com/caroline/photos/es/dentista-en-javea-carolina-carbasse-361.jpg Carolina Carbasse : https://es.carolyncarbasse.com/caroline/photos/es/carolina-carbasse-dentista-en-javea-490.jpg Carolina Carbasse : https://es.carolyncarbasse.com/caroline/photos/es/carolina-carbasse-zen-smile-spa-236.jpg Carolina Carbasse : https://es.carolyncarbasse.com/caroline/photos/es/zen-smile-spa-carolina-carbasse-487.jpg Carolina Carbasse : https://es.carolyncarbasse.com/caroline/photos/es/carolina-carbasse-zen-smile-spa-199.jpg Carolina Carbasse : https://es.carolyncarbasse.com/caroline/photos/es/carolina-carbasse-zen-smile-spa-21.jpg Carolina Carbasse : https://es.carolyncarbasse.com/caroline/photos/es/carolina-carbasse-zen-smile-spa-377.jpg Carolina Carbasse : https://es.carolyncarbasse.com/caroline/photos/es/carolina-carbasse-zen-smile-spa-365.jpg Carolina Carbasse : https://es.carolyncarbasse.com/caroline/photos/es/carolina-carbasse-dentista-en-javea-73.jpg Carolina Carbasse : https://es.carolyncarbasse.com/caroline/photos/es/dentista-en-javea-carolina-carbasse-463.jpg Carolina Carbasse : https://es.carolyncarbasse.com/caroline/photos/es/carolina-carbasse-zen-smile-spa-322.jpg Carolina Carbasse : https://es.carolyncarbasse.com/caroline/photos/es/carolina-carbasse-dentista-en-javea-74.jpg Carolina Carbasse : https://es.carolyncarbasse.com/caroline/photos/es/dentista-en-javea-carolina-carbasse-295.jpg Carolina Carbasse : https://es.carolyncarbasse.com/caroline/photos/es/carolina-carbasse-zen-smile-spa-39.jpg Carolina Carbasse : https://es.carolyncarbasse.com/caroline/photos/es/dentista-en-javea-carolina-carbasse-166.jpg Carolina Carbasse : https://es.carolyncarbasse.com/caroline/photos/es/carolina-carbasse-dentista-en-javea-402.jpg Carolina Carbasse : https://es.carolyncarbasse.com/caroline/photos/es/zen-smile-spa-carolina-carbasse-299.jpg Carolina Carbasse : https://es.carolyncarbasse.com/caroline/photos/es/carolina-carbasse-dentista-en-javea-113.jpg Carolina Carbasse : https://es.carolyncarbasse.com/caroline/photos/es/zen-smile-spa-carolina-carbasse-210.jpg Carolina Carbasse : https://es.carolyncarbasse.com/caroline/photos/es/carolina-carbasse-dentista-en-javea-155.jpg Carolina Carbasse : https://es.carolyncarbasse.com/caroline/photos/es/zen-smile-spa-carolina-carbasse-176.jpg Carolina Carbasse : https://es.carolyncarbasse.com/caroline/photos/es/dentista-en-javea-carolina-carbasse-412.jpg Carolina Carbasse : https://es.carolyncarbasse.com/caroline/photos/es/dentista-en-javea-carolina-carbasse-339.jpg Carolina Carbasse : https://es.carolyncarbasse.com/caroline/photos/es/dentista-en-javea-carolina-carbasse-105.jpg Carolina Carbasse : https://es.carolyncarbasse.com/caroline/photos/es/carolina-carbasse-zen-smile-spa-66.jpg Carolina Carbasse : https://es.carolyncarbasse.com/caroline/photos/es/carolina-carbasse-zen-smile-spa-349.jpg Carolina Carbasse : https://es.carolyncarbasse.com/caroline/photos/es/zen-smile-spa-carolina-carbasse-422.jpg Carolina Carbasse : https://es.carolyncarbasse.com/caroline/photos/es/zen-smile-spa-carolina-carbasse-478.jpg Carolina Carbasse : https://es.carolyncarbasse.com/caroline/photos/es/carolina-carbasse-dentista-en-javea-116.jpg Carolina Carbasse : https://es.carolyncarbasse.com/caroline/photos/es/carolina-carbasse-dentista-en-javea-6.jpg Carolina Carbasse : https://es.carolyncarbasse.com/caroline/photos/es/carolina-carbasse-dentista-en-javea-376.jpg Carolina Carbasse : https://es.carolyncarbasse.com/caroline/photos/es/dentista-en-javea-carolina-carbasse-390.jpg Carolina Carbasse : https://es.carolyncarbasse.com/caroline/photos/es/carolina-carbasse-dentista-en-javea-307.jpg Carolina Carbasse : https://es.carolyncarbasse.com/caroline/photos/es/dentista-en-javea-carolina-carbasse-493.jpg Carolina Carbasse : https://es.carolyncarbasse.com/caroline/photos/es/dentista-en-javea-carolina-carbasse-382.jpg Carolina Carbasse : https://es.carolyncarbasse.com/caroline/photos/es/zen-smile-spa-carolina-carbasse-19.jpg Carolina Carbasse : https://es.carolyncarbasse.com/caroline/photos/es/dentista-en-javea-carolina-carbasse-204.jpg Carolina Carbasse : https://es.carolyncarbasse.com/caroline/photos/es/zen-smile-spa-carolina-carbasse-196.jpg Carolina Carbasse : https://es.carolyncarbasse.com/caroline/photos/es/dentista-en-javea-carolina-carbasse-31.jpg Carolina Carbasse : https://es.carolyncarbasse.com/caroline/photos/es/carolina-carbasse-zen-smile-spa-252.jpg Carolina Carbasse : https://es.carolyncarbasse.com/caroline/photos/es/dentista-en-javea-carolina-carbasse-183.jpg Carolina Carbasse : https://es.carolyncarbasse.com/caroline/photos/es/dentista-en-javea-carolina-carbasse-95.jpg Carolina Carbasse : https://es.carolyncarbasse.com/caroline/photos/es/carolina-carbasse-dentista-en-javea-185.jpg Carolina Carbasse : https://es.carolyncarbasse.com/caroline/photos/es/carolina-carbasse-zen-smile-spa-302.jpg Carolina Carbasse : https://es.carolyncarbasse.com/caroline/photos/es/zen-smile-spa-carolina-carbasse-202.jpg Carolina Carbasse : https://es.carolyncarbasse.com/caroline/photos/es/carolina-carbasse-dentista-en-javea-215.jpg Carolina Carbasse : https://es.carolyncarbasse.com/caroline/photos/es/dentista-en-javea-carolina-carbasse-120.jpg Carolina Carbasse : https://es.carolyncarbasse.com/caroline/photos/es/dentista-en-javea-carolina-carbasse-49.jpg Carolina Carbasse : https://es.carolyncarbasse.com/caroline/photos/es/carolina-carbasse-zen-smile-spa-336.jpg Carolina Carbasse : https://es.carolyncarbasse.com/caroline/photos/es/carolina-carbasse-zen-smile-spa-356.jpg Carolina Carbasse : https://es.carolyncarbasse.com/caroline/photos/es/zen-smile-spa-carolina-carbasse-315.jpg Carolina Carbasse : https://es.carolyncarbasse.com/caroline/photos/es/carolina-carbasse-dentista-en-javea-12.jpg Carolina Carbasse : https://es.carolyncarbasse.com/caroline/photos/es/carolina-carbasse-zen-smile-spa-18.jpg Carolina Carbasse : https://es.carolyncarbasse.com/caroline/photos/es/zen-smile-spa-carolina-carbasse-286.jpg Carolina Carbasse : https://es.carolyncarbasse.com/caroline/photos/es/dentista-en-javea-carolina-carbasse-174.jpg Carolina Carbasse : https://es.carolyncarbasse.com/caroline/photos/es/carolina-carbasse-dentista-en-javea-205.jpg Carolina Carbasse : https://es.carolyncarbasse.com/caroline/photos/es/carolina-carbasse-dentista-en-javea-97.jpg Carolina Carbasse : https://es.carolyncarbasse.com/caroline/photos/es/carolina-carbasse-dentista-en-javea-156.jpg Carolina Carbasse : https://es.carolyncarbasse.com/caroline/photos/es/carolina-carbasse-zen-smile-spa-32.jpg Carolina Carbasse : https://es.carolyncarbasse.com/caroline/photos/es/dentista-en-javea-carolina-carbasse-290.jpg Carolina Carbasse : https://es.carolyncarbasse.com/caroline/photos/es/carolina-carbasse-zen-smile-spa-200.jpg Carolina Carbasse : https://es.carolyncarbasse.com/caroline/photos/es/carolina-carbasse-dentista-en-javea-288.jpg Carolina Carbasse : https://es.carolyncarbasse.com/caroline/photos/es/carolina-carbasse-zen-smile-spa-117.jpg Carolina Carbasse : https://es.carolyncarbasse.com/caroline/photos/es/carolina-carbasse-zen-smile-spa-416.jpg Carolina Carbasse : https://es.carolyncarbasse.com/caroline/photos/es/carolina-carbasse-zen-smile-spa-400.jpg Carolina Carbasse : https://es.carolyncarbasse.com/caroline/photos/es/dentista-en-javea-carolina-carbasse-256.jpg Carolina Carbasse : https://es.carolyncarbasse.com/caroline/photos/es/carolina-carbasse-zen-smile-spa-318.jpg Carolina Carbasse : https://es.carolyncarbasse.com/caroline/photos/es/carolina-carbasse-dentista-en-javea-276.jpg Carolina Carbasse : https://es.carolyncarbasse.com/caroline/photos/es/carolina-carbasse-dentista-en-javea-48.jpg Carolina Carbasse : https://es.carolyncarbasse.com/caroline/photos/es/carolina-carbasse-dentista-en-javea-160.jpg Carolina Carbasse : https://es.carolyncarbasse.com/caroline/photos/es/zen-smile-spa-carolina-carbasse-161.jpg Carolina Carbasse : https://es.carolyncarbasse.com/caroline/photos/es/carolina-carbasse-dentista-en-javea-91.jpg Carolina Carbasse : https://es.carolyncarbasse.com/caroline/photos/es/carolina-carbasse-zen-smile-spa-162.jpg Carolina Carbasse : https://es.carolyncarbasse.com/caroline/photos/es/zen-smile-spa-carolina-carbasse-251.jpg Carolina Carbasse : https://es.carolyncarbasse.com/caroline/photos/es/carolina-carbasse-zen-smile-spa-332.jpg Carolina Carbasse : https://es.carolyncarbasse.com/caroline/photos/es/carolina-carbasse-dentista-en-javea-233.jpg Carolina Carbasse : https://es.carolyncarbasse.com/caroline/photos/es/zen-smile-spa-carolina-carbasse-177.jpg Carolina Carbasse : https://es.carolyncarbasse.com/caroline/photos/es/carolina-carbasse-zen-smile-spa-214.jpg Carolina Carbasse : https://es.carolyncarbasse.com/caroline/photos/es/zen-smile-spa-carolina-carbasse-398.jpg Carolina Carbasse : https://es.carolyncarbasse.com/caroline/photos/es/dentista-en-javea-carolina-carbasse-337.jpg Carolina Carbasse : https://es.carolyncarbasse.com/caroline/photos/es/zen-smile-spa-carolina-carbasse-436.jpg Carolina Carbasse : https://es.carolyncarbasse.com/caroline/photos/es/carolina-carbasse-dentista-en-javea-374.jpg Carolina Carbasse : https://es.carolyncarbasse.com/caroline/photos/es/zen-smile-spa-carolina-carbasse-167.jpg Carolina Carbasse : https://es.carolyncarbasse.com/caroline/photos/es/carolina-carbasse-zen-smile-spa-319.jpg Carolina Carbasse : https://es.carolyncarbasse.com/caroline/photos/es/carolina-carbasse-zen-smile-spa-391.jpg Carolina Carbasse : https://es.carolyncarbasse.com/caroline/photos/es/carolina-carbasse-dentista-en-javea-65.jpg Carolina Carbasse : https://es.carolyncarbasse.com/caroline/photos/es/dentista-en-javea-carolina-carbasse-44.jpg Carolina Carbasse : https://es.carolyncarbasse.com/caroline/photos/es/carolina-carbasse-zen-smile-spa-152.jpg Carolina Carbasse : https://es.carolyncarbasse.com/caroline/photos/es/dentista-en-javea-carolina-carbasse-232.jpg Carolina Carbasse : https://es.carolyncarbasse.com/caroline/photos/es/dentista-en-javea-carolina-carbasse-293.jpg Carolina Carbasse : https://es.carolyncarbasse.com/caroline/photos/es/carolina-carbasse-zen-smile-spa-261.jpg Carolina Carbasse : https://es.carolyncarbasse.com/caroline/photos/es/dentista-en-javea-carolina-carbasse-181.jpg Carolina Carbasse : https://es.carolyncarbasse.com/caroline/photos/es/zen-smile-spa-carolina-carbasse-186.jpg Carolina Carbasse : https://es.carolyncarbasse.com/caroline/photos/es/carolina-carbasse-zen-smile-spa-277.jpg Carolina Carbasse : https://es.carolyncarbasse.com/caroline/photos/es/carolina-carbasse-zen-smile-spa-452.jpg Carolina Carbasse : https://es.carolyncarbasse.com/caroline/photos/es/zen-smile-spa-carolina-carbasse-148.jpg Carolina Carbasse : https://es.carolyncarbasse.com/caroline/photos/es/carolina-carbasse-zen-smile-spa-394.jpg Carolina Carbasse : https://es.carolyncarbasse.com/caroline/photos/es/zen-smile-spa-carolina-carbasse-224.jpg Carolina Carbasse : https://es.carolyncarbasse.com/caroline/photos/es/carolina-carbasse-zen-smile-spa-23.jpg Carolina Carbasse : https://es.carolyncarbasse.com/caroline/photos/es/carolina-carbasse-zen-smile-spa-101.jpg Carolina Carbasse : https://es.carolyncarbasse.com/caroline/photos/es/carolina-carbasse-dentista-en-javea-285.jpg Carolina Carbasse : https://es.carolyncarbasse.com/caroline/photos/es/zen-smile-spa-carolina-carbasse-84.jpg Carolina Carbasse : https://es.carolyncarbasse.com/caroline/photos/es/dentista-en-javea-carolina-carbasse-71.jpg Carolina Carbasse : https://es.carolyncarbasse.com/caroline/photos/es/zen-smile-spa-carolina-carbasse-264.jpg Carolina Carbasse : https://es.carolyncarbasse.com/caroline/photos/es/carolina-carbasse-zen-smile-spa-399.jpg Carolina Carbasse : https://es.carolyncarbasse.com/caroline/photos/es/carolina-carbasse-dentista-en-javea-370.jpg Carolina Carbasse : https://es.carolyncarbasse.com/caroline/photos/es/zen-smile-spa-carolina-carbasse-470.jpg Carolina Carbasse : https://es.carolyncarbasse.com/caroline/photos/es/zen-smile-spa-carolina-carbasse-240.jpg Carolina Carbasse : https://es.carolyncarbasse.com/caroline/photos/es/carolina-carbasse-zen-smile-spa-423.jpg Carolina Carbasse : https://es.carolyncarbasse.com/caroline/photos/es/dentista-en-javea-carolina-carbasse-429.jpg Carolina Carbasse : https://es.carolyncarbasse.com/caroline/photos/es/carolina-carbasse-dentista-en-javea-219.jpg Carolina Carbasse : https://es.carolyncarbasse.com/caroline/photos/es/carolina-carbasse-dentista-en-javea-389.jpg Carolina Carbasse : https://es.carolyncarbasse.com/caroline/photos/es/carolina-carbasse-dentista-en-javea-10.jpg Carolina Carbasse : https://es.carolyncarbasse.com/caroline/photos/es/zen-smile-spa-carolina-carbasse-45.jpg Carolina Carbasse : https://es.carolyncarbasse.com/caroline/photos/es/carolina-carbasse-zen-smile-spa-353.jpg Carolina Carbasse : https://es.carolyncarbasse.com/caroline/photos/es/dentista-en-javea-carolina-carbasse-406.jpg Carolina Carbasse : https://es.carolyncarbasse.com/caroline/photos/es/zen-smile-spa-carolina-carbasse-248.jpg Carolina Carbasse : https://es.carolyncarbasse.com/caroline/photos/es/dentista-en-javea-carolina-carbasse-451.jpg Carolina Carbasse : https://es.carolyncarbasse.com/caroline/photos/es/carolina-carbasse-zen-smile-spa-328.jpg Carolina Carbasse : https://es.carolyncarbasse.com/caroline/photos/es/zen-smile-spa-carolina-carbasse-287.jpg Carolina Carbasse : https://es.carolyncarbasse.com/caroline/photos/es/carolina-carbasse-dentista-en-javea-326.jpg Carolina Carbasse : https://es.carolyncarbasse.com/caroline/photos/es/zen-smile-spa-carolina-carbasse-425.jpg Carolina Carbasse : https://es.carolyncarbasse.com/caroline/photos/es/dentista-en-javea-carolina-carbasse-309.jpg Carolina Carbasse : https://es.carolyncarbasse.com/caroline/photos/es/carolina-carbasse-dentista-en-javea-392.jpg Carolina Carbasse : https://es.carolyncarbasse.com/caroline/photos/es/zen-smile-spa-carolina-carbasse-300.jpg Carolina Carbasse : https://es.carolyncarbasse.com/caroline/photos/es/dentista-en-javea-carolina-carbasse-22.jpg Carolina Carbasse : https://es.carolyncarbasse.com/caroline/photos/es/carolina-carbasse-zen-smile-spa-397.jpg Carolina Carbasse : https://es.carolyncarbasse.com/caroline/photos/es/zen-smile-spa-carolina-carbasse-438.jpg Carolina Carbasse : https://es.carolyncarbasse.com/caroline/photos/es/carolina-carbasse-zen-smile-spa-495.jpg Carolina Carbasse : https://es.carolyncarbasse.com/caroline/photos/es/dentista-en-javea-carolina-carbasse-72.jpg Carolina Carbasse : https://es.carolyncarbasse.com/caroline/photos/es/dentista-en-javea-carolina-carbasse-75.jpg Carolina Carbasse : https://es.carolyncarbasse.com/caroline/photos/es/carolina-carbasse-zen-smile-spa-92.jpg Carolina Carbasse : https://es.carolyncarbasse.com/caroline/photos/es/dentista-en-javea-carolina-carbasse-294.jpg Carolina Carbasse : https://es.carolyncarbasse.com/caroline/photos/es/carolina-carbasse-dentista-en-javea-481.jpg Carolina Carbasse : https://es.carolyncarbasse.com/caroline/photos/es/carolina-carbasse-dentista-en-javea-444.jpg Carolina Carbasse : https://es.carolyncarbasse.com/caroline/photos/es/zen-smile-spa-carolina-carbasse-357.jpg Carolina Carbasse : https://es.carolyncarbasse.com/caroline/photos/es/zen-smile-spa-carolina-carbasse-316.jpg Carolina Carbasse : https://es.carolyncarbasse.com/caroline/photos/es/zen-smile-spa-carolina-carbasse-488.jpg Carolina Carbasse : https://es.carolyncarbasse.com/caroline/photos/es/carolina-carbasse-zen-smile-spa-143.jpg Carolina Carbasse : https://es.carolyncarbasse.com/caroline/photos/es/carolina-carbasse-zen-smile-spa-78.jpg Carolina Carbasse : https://es.carolyncarbasse.com/caroline/photos/es/zen-smile-spa-carolina-carbasse-410.jpg Carolina Carbasse : https://es.carolyncarbasse.com/caroline/photos/es/carolina-carbasse-zen-smile-spa-320.jpg Carolina Carbasse : https://es.carolyncarbasse.com/caroline/photos/es/carolina-carbasse-dentista-en-javea-220.jpg Carolina Carbasse : https://es.carolyncarbasse.com/caroline/photos/es/dentista-en-javea-carolina-carbasse-347.jpg Carolina Carbasse : https://es.carolyncarbasse.com/caroline/photos/es/carolina-carbasse-dentista-en-javea-212.jpg Carolina Carbasse : https://es.carolyncarbasse.com/caroline/photos/es/zen-smile-spa-carolina-carbasse-1.jpg Carolina Carbasse : https://es.carolyncarbasse.com/caroline/photos/es/carolina-carbasse-dentista-en-javea-491.jpg Carolina Carbasse : https://es.carolyncarbasse.com/caroline/photos/es/zen-smile-spa-carolina-carbasse-158.jpg Carolina Carbasse : https://es.carolyncarbasse.com/caroline/photos/es/zen-smile-spa-carolina-carbasse-371.jpg Carolina Carbasse : https://es.carolyncarbasse.com/caroline/photos/es/zen-smile-spa-carolina-carbasse-7.jpg Carolina Carbasse : https://es.carolyncarbasse.com/caroline/photos/es/dentista-en-javea-carolina-carbasse-79.jpg Carolina Carbasse : https://es.carolyncarbasse.com/caroline/photos/es/zen-smile-spa-carolina-carbasse-56.jpg Carolina Carbasse : https://es.carolyncarbasse.com/caroline/photos/es/carolina-carbasse-zen-smile-spa-419.jpg Carolina Carbasse : https://es.carolyncarbasse.com/caroline/photos/es/zen-smile-spa-carolina-carbasse-123.jpg Carolina Carbasse : https://es.carolyncarbasse.com/caroline/photos/es/dentista-en-javea-carolina-carbasse-206.jpg Carolina Carbasse : https://es.carolyncarbasse.com/caroline/photos/es/zen-smile-spa-carolina-carbasse-313.jpg Carolina Carbasse : https://es.carolyncarbasse.com/caroline/photos/es/dentista-en-javea-carolina-carbasse-192.jpg Carolina Carbasse : https://es.carolyncarbasse.com/caroline/photos/es/carolina-carbasse-zen-smile-spa-358.jpg Carolina Carbasse : https://es.carolyncarbasse.com/caroline/photos/es/zen-smile-spa-carolina-carbasse-234.jpg Carolina Carbasse : https://es.carolyncarbasse.com/caroline/photos/es/dentista-en-javea-carolina-carbasse-187.jpg Carolina Carbasse : https://es.carolyncarbasse.com/caroline/photos/es/zen-smile-spa-carolina-carbasse-16.jpg Carolina Carbasse : https://es.carolyncarbasse.com/caroline/photos/es/zen-smile-spa-carolina-carbasse-420.jpg Carolina Carbasse : https://es.carolyncarbasse.com/caroline/photos/es/carolina-carbasse-zen-smile-spa-62.jpg Carolina Carbasse : https://es.carolyncarbasse.com/caroline/photos/es/dentista-en-javea-carolina-carbasse-201.jpg Carolina Carbasse : https://es.carolyncarbasse.com/caroline/photos/es/carolina-carbasse-dentista-en-javea-61.jpg Carolina Carbasse : https://es.carolyncarbasse.com/caroline/photos/es/carolina-carbasse-zen-smile-spa-195.jpg Carolina Carbasse : https://es.carolyncarbasse.com/caroline/photos/es/carolina-carbasse-dentista-en-javea-52.jpg Carolina Carbasse : https://es.carolyncarbasse.com/caroline/photos/es/zen-smile-spa-carolina-carbasse-190.jpg Carolina Carbasse : https://es.carolyncarbasse.com/caroline/photos/es/carolina-carbasse-zen-smile-spa-100.jpg Carolina Carbasse : https://es.carolyncarbasse.com/caroline/photos/es/carolina-carbasse-dentista-en-javea-172.jpg Carolina Carbasse : https://es.carolyncarbasse.com/caroline/photos/es/carolina-carbasse-dentista-en-javea-76.jpg Carolina Carbasse : https://es.carolyncarbasse.com/caroline/photos/es/carolina-carbasse-dentista-en-javea-182.jpg Carolina Carbasse : https://es.carolyncarbasse.com/caroline/photos/es/carolina-carbasse-dentista-en-javea-477.jpg Carolina Carbasse : https://es.carolyncarbasse.com/caroline/photos/es/carolina-carbasse-zen-smile-spa-57.jpg Carolina Carbasse : https://es.carolyncarbasse.com/caroline/photos/es/carolina-carbasse-dentista-en-javea-421.jpg Carolina Carbasse : https://es.carolyncarbasse.com/caroline/photos/es/zen-smile-spa-carolina-carbasse-449.jpg Carolina Carbasse : https://es.carolyncarbasse.com/caroline/photos/es/carolina-carbasse-zen-smile-spa-15.jpg Carolina Carbasse : https://es.carolyncarbasse.com/caroline/photos/es/zen-smile-spa-carolina-carbasse-138.jpg Carolina Carbasse : https://es.carolyncarbasse.com/caroline/photos/es/carolina-carbasse-dentista-en-javea-331.jpg Carolina Carbasse : https://es.carolyncarbasse.com/caroline/photos/es/carolina-carbasse-dentista-en-javea-130.jpg Carolina Carbasse : https://es.carolyncarbasse.com/caroline/photos/es/carolina-carbasse-dentista-en-javea-9.jpg Carolina Carbasse : https://es.carolyncarbasse.com/caroline/photos/es/carolina-carbasse-dentista-en-javea-4.jpg Carolina Carbasse : https://es.carolyncarbasse.com/caroline/photos/es/carolina-carbasse-dentista-en-javea-135.jpg Carolina Carbasse : https://es.carolyncarbasse.com/caroline/photos/es/carolina-carbasse-dentista-en-javea-351.jpg Carolina Carbasse : https://es.carolyncarbasse.com/caroline/photos/es/zen-smile-spa-carolina-carbasse-284.jpg Carolina Carbasse : https://es.carolyncarbasse.com/caroline/photos/es/zen-smile-spa-carolina-carbasse-335.jpg Carolina Carbasse : https://es.carolyncarbasse.com/caroline/photos/es/carolina-carbasse-dentista-en-javea-266.jpg Carolina Carbasse : https://es.carolyncarbasse.com/caroline/photos/es/carolina-carbasse-dentista-en-javea-325.jpg Carolina Carbasse : https://es.carolyncarbasse.com/caroline/photos/es/zen-smile-spa-carolina-carbasse-404.jpg Carolina Carbasse : https://es.carolyncarbasse.com/caroline/photos/es/carolina-carbasse-dentista-en-javea-260.jpg Carolina Carbasse : https://es.carolyncarbasse.com/caroline/photos/es/carolina-carbasse-zen-smile-spa-346.jpg Carolina Carbasse : https://es.carolyncarbasse.com/caroline/photos/es/zen-smile-spa-carolina-carbasse-128.jpg Carolina Carbasse : https://es.carolyncarbasse.com/caroline/photos/es/dentista-en-javea-carolina-carbasse-273.jpg Carolina Carbasse : https://es.carolyncarbasse.com/caroline/photos/es/dentista-en-javea-carolina-carbasse-125.jpg Carolina Carbasse : https://es.carolyncarbasse.com/caroline/photos/es/dentista-en-javea-carolina-carbasse-242.jpg Carolina Carbasse : https://es.carolyncarbasse.com/caroline/photos/es/dentista-en-javea-carolina-carbasse-107.jpg Carolina Carbasse : https://es.carolyncarbasse.com/caroline/photos/es/dentista-en-javea-carolina-carbasse-194.jpg Carolina Carbasse : https://es.carolyncarbasse.com/caroline/photos/es/carolina-carbasse-zen-smile-spa-354.jpg Carolina Carbasse : https://es.carolyncarbasse.com/caroline/photos/es/carolina-carbasse-zen-smile-spa-363.jpg Carolina Carbasse : https://es.carolyncarbasse.com/caroline/photos/es/carolina-carbasse-zen-smile-spa-323.jpg Carolina Carbasse : https://es.carolyncarbasse.com/caroline/photos/es/dentista-en-javea-carolina-carbasse-153.jpg Carolina Carbasse : https://es.carolyncarbasse.com/caroline/photos/es/carolina-carbasse-zen-smile-spa-298.jpg Carolina Carbasse : https://es.carolyncarbasse.com/caroline/photos/es/dentista-en-javea-carolina-carbasse-216.jpg Carolina Carbasse : https://es.carolyncarbasse.com/caroline/photos/es/zen-smile-spa-carolina-carbasse-314.jpg Carolina Carbasse : https://es.carolyncarbasse.com/caroline/photos/es/carolina-carbasse-dentista-en-javea-213.jpg Carolina Carbasse : https://es.carolyncarbasse.com/caroline/photos/es/carolina-carbasse-dentista-en-javea-380.jpg Carolina Carbasse : https://es.carolyncarbasse.com/caroline/photos/es/carolina-carbasse-zen-smile-spa-114.jpg Carolina Carbasse : https://es.carolyncarbasse.com/caroline/photos/es/dentista-en-javea-carolina-carbasse-209.jpg Carolina Carbasse : https://es.carolyncarbasse.com/caroline/photos/es/carolina-carbasse-zen-smile-spa-364.jpg Carolina Carbasse : https://es.carolyncarbasse.com/caroline/photos/es/carolina-carbasse-zen-smile-spa-387.jpg Carolina Carbasse : https://es.carolyncarbasse.com/caroline/photos/es/dentista-en-javea-carolina-carbasse-265.jpg Carolina Carbasse : https://es.carolyncarbasse.com/caroline/photos/es/zen-smile-spa-carolina-carbasse-119.jpg Carolina Carbasse : https://es.carolyncarbasse.com/caroline/photos/es/dentista-en-javea-carolina-carbasse-459.jpg Carolina Carbasse : https://es.carolyncarbasse.com/caroline/photos/es/dentista-en-javea-carolina-carbasse-407.jpg Carolina Carbasse : https://es.carolyncarbasse.com/caroline/photos/es/zen-smile-spa-carolina-carbasse-270.jpg Carolina Carbasse : https://es.carolyncarbasse.com/caroline/photos/es/carolina-carbasse-zen-smile-spa-262.jpg Carolina Carbasse : https://es.carolyncarbasse.com/caroline/photos/es/dentista-en-javea-carolina-carbasse-211.jpg Carolina Carbasse : https://es.carolyncarbasse.com/caroline/photos/es/carolina-carbasse-dentista-en-javea-274.jpg Carolina Carbasse : https://es.carolyncarbasse.com/caroline/photos/es/carolina-carbasse-zen-smile-spa-383.jpg Carolina Carbasse : https://es.carolyncarbasse.com/caroline/photos/es/carolina-carbasse-dentista-en-javea-373.jpg Carolina Carbasse : https://es.carolyncarbasse.com/caroline/photos/es/zen-smile-spa-carolina-carbasse-5.jpg Carolina Carbasse : https://es.carolyncarbasse.com/caroline/photos/es/carolina-carbasse-dentista-en-javea-446.jpg Carolina Carbasse : https://es.carolyncarbasse.com/caroline/photos/es/carolina-carbasse-zen-smile-spa-448.jpg Carolina Carbasse : https://es.carolyncarbasse.com/caroline/photos/es/carolina-carbasse-dentista-en-javea-54.jpg Carolina Carbasse : https://es.carolyncarbasse.com/caroline/photos/es/carolina-carbasse-zen-smile-spa-141.jpg Carolina Carbasse : https://es.carolyncarbasse.com/caroline/photos/es/zen-smile-spa-carolina-carbasse-139.jpg Carolina Carbasse : https://es.carolyncarbasse.com/caroline/photos/es/dentista-en-javea-carolina-carbasse-118.jpg Carolina Carbasse : https://es.carolyncarbasse.com/caroline/photos/es/carolina-carbasse-dentista-en-javea-203.jpg Carolina Carbasse : https://es.carolyncarbasse.com/caroline/photos/es/carolina-carbasse-dentista-en-javea-47.jpg Carolina Carbasse : https://es.carolyncarbasse.com/caroline/photos/es/zen-smile-spa-carolina-carbasse-401.jpg Carolina Carbasse : https://es.carolyncarbasse.com/caroline/photos/es/carolina-carbasse-zen-smile-spa-58.jpg Carolina Carbasse : https://es.carolyncarbasse.com/caroline/photos/es/carolina-carbasse-dentista-en-javea-355.jpg Carolina Carbasse : https://es.carolyncarbasse.com/caroline/photos/es/carolina-carbasse-zen-smile-spa-352.jpg Carolina Carbasse : https://es.carolyncarbasse.com/caroline/photos/es/carolina-carbasse-dentista-en-javea-2.jpg Carolina Carbasse : https://es.carolyncarbasse.com/caroline/photos/es/carolina-carbasse-zen-smile-spa-221.jpg Carolina Carbasse : https://es.carolyncarbasse.com/caroline/photos/es/carolina-carbasse-zen-smile-spa-440.jpg Carolina Carbasse : https://es.carolyncarbasse.com/caroline/photos/es/zen-smile-spa-carolina-carbasse-245.jpg Carolina Carbasse : https://es.carolyncarbasse.com/caroline/photos/es/carolina-carbasse-dentista-en-javea-396.jpg Carolina Carbasse : https://es.carolyncarbasse.com/caroline/photos/es/carolina-carbasse-zen-smile-spa-272.jpg Carolina Carbasse : https://es.carolyncarbasse.com/caroline/photos/es/dentista-en-javea-carolina-carbasse-253.jpg Carolina Carbasse : https://es.carolyncarbasse.com/caroline/photos/es/carolina-carbasse-dentista-en-javea-81.jpg Carolina Carbasse : https://es.carolyncarbasse.com/caroline/photos/es/dentista-en-javea-carolina-carbasse-149.jpg Carolina Carbasse : https://es.carolyncarbasse.com/caroline/photos/es/zen-smile-spa-carolina-carbasse-225.jpg Carolina Carbasse : https://es.carolyncarbasse.com/caroline/photos/es/carolina-carbasse-zen-smile-spa-494.jpg Carolina Carbasse : https://es.carolyncarbasse.com/caroline/photos/es/carolina-carbasse-dentista-en-javea-311.jpg Carolina Carbasse : https://es.carolyncarbasse.com/caroline/photos/es/carolina-carbasse-dentista-en-javea-450.jpg Carolina Carbasse : https://es.carolyncarbasse.com/caroline/photos/es/dentista-en-javea-carolina-carbasse-46.jpg Carolina Carbasse : https://es.carolyncarbasse.com/caroline/photos/es/dentista-en-javea-carolina-carbasse-67.jpg Carolina Carbasse : https://es.carolyncarbasse.com/caroline/photos/es/carolina-carbasse-dentista-en-javea-472.jpg Carolina Carbasse : https://es.carolyncarbasse.com/caroline/photos/es/dentista-en-javea-carolina-carbasse-173.jpg Carolina Carbasse : https://es.carolyncarbasse.com/caroline/photos/es/carolina-carbasse-zen-smile-spa-108.jpg Carolina Carbasse : https://es.carolyncarbasse.com/caroline/photos/es/carolina-carbasse-zen-smile-spa-476.jpg Carolina Carbasse : https://es.carolyncarbasse.com/caroline/photos/es/carolina-carbasse-zen-smile-spa-137.jpg Carolina Carbasse : https://es.carolyncarbasse.com/caroline/photos/es/dentista-en-javea-carolina-carbasse-460.jpg Carolina Carbasse : https://es.carolyncarbasse.com/caroline/photos/es/carolina-carbasse-dentista-en-javea-140.jpg Carolina Carbasse : https://es.carolyncarbasse.com/caroline/photos/es/carolina-carbasse-zen-smile-spa-124.jpg Carolina Carbasse : https://es.carolyncarbasse.com/caroline/photos/es/carolina-carbasse-dentista-en-javea-229.jpg Carolina Carbasse : https://es.carolyncarbasse.com/caroline/photos/es/carolina-carbasse-zen-smile-spa-208.jpg Carolina Carbasse : https://es.carolyncarbasse.com/caroline/photos/es/carolina-carbasse-dentista-en-javea-222.jpg Carolina Carbasse : https://es.carolyncarbasse.com/caroline/photos/es/zen-smile-spa-carolina-carbasse-306.jpg Carolina Carbasse : https://es.carolyncarbasse.com/caroline/photos/es/zen-smile-spa-carolina-carbasse-296.jpg Carolina Carbasse : https://es.carolyncarbasse.com/caroline/photos/es/carolina-carbasse-zen-smile-spa-359.jpg Carolina Carbasse : https://es.carolyncarbasse.com/caroline/photos/es/carolina-carbasse-zen-smile-spa-368.jpg Carolina Carbasse : https://es.carolyncarbasse.com/caroline/photos/es/carolina-carbasse-zen-smile-spa-237.jpg Carolina Carbasse : https://es.carolyncarbasse.com/caroline/photos/es/carolina-carbasse-dentista-en-javea-283.jpg Carolina Carbasse : https://es.carolyncarbasse.com/caroline/photos/es/carolina-carbasse-zen-smile-spa-134.jpg Carolina Carbasse : https://es.carolyncarbasse.com/caroline/photos/es/carolina-carbasse-zen-smile-spa-169.jpg Carolina Carbasse : https://es.carolyncarbasse.com/caroline/photos/es/carolina-carbasse-zen-smile-spa-8.jpg Carolina Carbasse : https://es.carolyncarbasse.com/caroline/photos/es/dentista-en-javea-carolina-carbasse-28.jpg Carolina Carbasse : https://es.carolyncarbasse.com/caroline/photos/es/dentista-en-javea-carolina-carbasse-439.jpg Carolina Carbasse : https://es.carolyncarbasse.com/caroline/photos/es/dentista-en-javea-carolina-carbasse-466.jpg Carolina Carbasse : https://es.carolyncarbasse.com/caroline/photos/es/carolina-carbasse-zen-smile-spa-379.jpg Carolina Carbasse : https://es.carolyncarbasse.com/caroline/photos/es/carolina-carbasse-dentista-en-javea-426.jpg Carolina Carbasse : https://es.carolyncarbasse.com/caroline/photos/es/dentista-en-javea-carolina-carbasse-218.jpg Carolina Carbasse : https://es.carolyncarbasse.com/caroline/photos/es/carolina-carbasse-dentista-en-javea-178.jpg Carolina Carbasse : https://es.carolyncarbasse.com/caroline/photos/es/carolina-carbasse-dentista-en-javea-443.jpg Carolina Carbasse : https://es.carolyncarbasse.com/caroline/photos/es/dentista-en-javea-carolina-carbasse-430.jpg Carolina Carbasse : https://es.carolyncarbasse.com/caroline/photos/es/zen-smile-spa-carolina-carbasse-485.jpg Carolina Carbasse : https://es.carolyncarbasse.com/caroline/photos/es/zen-smile-spa-carolina-carbasse-483.jpg Carolina Carbasse : https://es.carolyncarbasse.com/caroline/photos/es/carolina-carbasse-dentista-en-javea-345.jpg Carolina Carbasse : https://es.carolyncarbasse.com/caroline/photos/es/zen-smile-spa-carolina-carbasse-59.jpg Carolina Carbasse : https://es.carolyncarbasse.com/caroline/photos/es/zen-smile-spa-carolina-carbasse-145.jpg Carolina Carbasse : https://es.carolyncarbasse.com/caroline/photos/es/carolina-carbasse-dentista-en-javea-414.jpg Carolina Carbasse : https://es.carolyncarbasse.com/caroline/photos/es/carolina-carbasse-dentista-en-javea-468.jpg Carolina Carbasse : https://es.carolyncarbasse.com/caroline/photos/es/carolina-carbasse-zen-smile-spa-170.jpg Carolina Carbasse : https://es.carolyncarbasse.com/caroline/photos/es/carolina-carbasse-zen-smile-spa-500.jpg Carolina Carbasse : https://es.carolyncarbasse.com/caroline/photos/es/zen-smile-spa-carolina-carbasse-249.jpg Carolina Carbasse : https://es.carolyncarbasse.com/caroline/photos/es/carolina-carbasse-zen-smile-spa-317.jpg Carolina Carbasse : https://es.carolyncarbasse.com/caroline/photos/es/carolina-carbasse-dentista-en-javea-492.jpg Carolina Carbasse : https://es.carolyncarbasse.com/caroline/photos/es/dentista-en-javea-carolina-carbasse-127.jpg Carolina Carbasse : https://es.carolyncarbasse.com/caroline/photos/es/carolina-carbasse-dentista-en-javea-231.jpg Carolina Carbasse : https://es.carolyncarbasse.com/caroline/photos/es/carolina-carbasse-zen-smile-spa-191.jpg Carolina Carbasse : https://es.carolyncarbasse.com/caroline/photos/es/dentista-en-javea-carolina-carbasse-312.jpg Carolina Carbasse : https://es.carolyncarbasse.com/caroline/photos/es/carolina-carbasse-zen-smile-spa-431.jpg Carolina Carbasse : https://es.carolyncarbasse.com/caroline/photos/es/carolina-carbasse-zen-smile-spa-385.jpg Carolina Carbasse : https://es.carolyncarbasse.com/caroline/photos/es/carolina-carbasse-dentista-en-javea-497.jpg Carolina Carbasse : https://es.carolyncarbasse.com/caroline/photos/es/zen-smile-spa-carolina-carbasse-250.jpg Carolina Carbasse : https://es.carolyncarbasse.com/caroline/photos/es/zen-smile-spa-carolina-carbasse-102.jpg Carolina Carbasse : https://es.carolyncarbasse.com/caroline/photos/es/zen-smile-spa-carolina-carbasse-275.jpg Carolina Carbasse : https://es.carolyncarbasse.com/caroline/photos/es/carolina-carbasse-zen-smile-spa-362.jpg Carolina Carbasse : https://es.carolyncarbasse.com/caroline/photos/es/dentista-en-javea-carolina-carbasse-223.jpg Carolina Carbasse : https://es.carolyncarbasse.com/caroline/photos/es/carolina-carbasse-zen-smile-spa-456.jpg Carolina Carbasse : https://es.carolyncarbasse.com/caroline/photos/es/carolina-carbasse-dentista-en-javea-40.jpg Carolina Carbasse : https://es.carolyncarbasse.com/caroline/photos/es/zen-smile-spa-carolina-carbasse-340.jpg Carolina Carbasse : https://es.carolyncarbasse.com/caroline/photos/es/carolina-carbasse-dentista-en-javea-235.jpg Carolina Carbasse : https://es.carolyncarbasse.com/caroline/photos/es/carolina-carbasse-dentista-en-javea-27.jpg Carolina Carbasse : https://es.carolyncarbasse.com/caroline/photos/es/carolina-carbasse-zen-smile-spa-129.jpg Carolina Carbasse : https://es.carolyncarbasse.com/caroline/photos/es/carolina-carbasse-zen-smile-spa-433.jpg Carolina Carbasse : https://es.carolyncarbasse.com/caroline/photos/es/carolina-carbasse-dentista-en-javea-239.jpg Carolina Carbasse : https://es.carolyncarbasse.com/caroline/photos/es/carolina-carbasse-dentista-en-javea-133.jpg Carolina Carbasse : https://es.carolyncarbasse.com/caroline/photos/es/zen-smile-spa-carolina-carbasse-381.jpg Carolina Carbasse : https://es.carolyncarbasse.com/caroline/photos/es/carolina-carbasse-dentista-en-javea-163.jpg Carolina Carbasse : https://es.carolyncarbasse.com/caroline/photos/es/carolina-carbasse-dentista-en-javea-36.jpg Carolina Carbasse : https://es.carolyncarbasse.com/caroline/photos/es/zen-smile-spa-carolina-carbasse-168.jpg Carolina Carbasse : https://es.carolyncarbasse.com/caroline/photos/es/dentista-en-javea-carolina-carbasse-159.jpg Carolina Carbasse : https://es.carolyncarbasse.com/caroline/photos/es/zen-smile-spa-carolina-carbasse-467.jpg Carolina Carbasse : https://es.carolyncarbasse.com/caroline/photos/es/carolina-carbasse-dentista-en-javea-437.jpg Carolina Carbasse : https://es.carolyncarbasse.com/caroline/photos/es/carolina-carbasse-zen-smile-spa-29.jpg Carolina Carbasse : https://es.carolyncarbasse.com/caroline/photos/es/carolina-carbasse-zen-smile-spa-63.jpg Carolina Carbasse : https://es.carolyncarbasse.com/caroline/photos/es/carolina-carbasse-dentista-en-javea-403.jpg Carolina Carbasse : https://es.carolyncarbasse.com/caroline/photos/es/carolina-carbasse-zen-smile-spa-455.jpg Carolina Carbasse : https://es.carolyncarbasse.com/caroline/photos/es/carolina-carbasse-dentista-en-javea-109.jpg Carolina Carbasse : https://es.carolyncarbasse.com/caroline/photos/es/dentista-en-javea-carolina-carbasse-20.jpg Carolina Carbasse : https://es.carolyncarbasse.com/caroline/photos/es/carolina-carbasse-dentista-en-javea-86.jpg Carolina Carbasse : https://es.carolyncarbasse.com/caroline/photos/es/zen-smile-spa-carolina-carbasse-228.jpg Carolina Carbasse : https://es.carolyncarbasse.com/caroline/photos/es/carolina-carbasse-zen-smile-spa-386.jpg Carolina Carbasse : https://es.carolyncarbasse.com/caroline/photos/es/carolina-carbasse-dentista-en-javea-244.jpg Carolina Carbasse : https://es.carolyncarbasse.com/caroline/photos/es/dentista-en-javea-carolina-carbasse-144.jpg Carolina Carbasse : https://es.carolyncarbasse.com/caroline/photos/es/carolina-carbasse-zen-smile-spa-475.jpg Carolina Carbasse : https://es.carolyncarbasse.com/caroline/photos/es/zen-smile-spa-carolina-carbasse-348.jpg Carolina Carbasse : https://es.carolyncarbasse.com/caroline/photos/es/carolina-carbasse-zen-smile-spa-388.jpg Carolina Carbasse : https://es.carolyncarbasse.com/caroline/photos/es/zen-smile-spa-carolina-carbasse-154.jpg Carolina Carbasse : https://es.carolyncarbasse.com/caroline/photos/es/dentista-en-javea-carolina-carbasse-257.jpg Carolina Carbasse : https://es.carolyncarbasse.com/caroline/photos/es/carolina-carbasse-dentista-en-javea-142.jpg Carolina Carbasse : https://es.carolyncarbasse.com/caroline/photos/es/carolina-carbasse-dentista-en-javea-188.jpg Carolina Carbasse : https://es.carolyncarbasse.com/caroline/photos/es/carolina-carbasse-dentista-en-javea-254.jpg Carolina Carbasse : https://es.carolyncarbasse.com/caroline/photos/es/carolina-carbasse-dentista-en-javea-247.jpg Carolina Carbasse : https://es.carolyncarbasse.com/caroline/photos/es/dentista-en-javea-carolina-carbasse-310.jpg Carolina Carbasse : https://es.carolyncarbasse.com/caroline/photos/es/zen-smile-spa-carolina-carbasse-269.jpg Carolina Carbasse : https://es.carolyncarbasse.com/caroline/photos/es/carolina-carbasse-dentista-en-javea-35.jpg Carolina Carbasse : https://es.carolyncarbasse.com/caroline/photos/es/zen-smile-spa-carolina-carbasse-88.jpg Carolina Carbasse : https://es.carolyncarbasse.com/caroline/photos/es/zen-smile-spa-carolina-carbasse-230.jpg Carolina Carbasse : https://es.carolyncarbasse.com/caroline/photos/es/dentista-en-javea-carolina-carbasse-146.jpg Carolina Carbasse : https://es.carolyncarbasse.com/caroline/photos/es/zen-smile-spa-carolina-carbasse-38.jpg Carolina Carbasse : https://es.carolyncarbasse.com/caroline/photos/es/dentista-en-javea-carolina-carbasse-301.jpg Carolina Carbasse : https://es.carolyncarbasse.com/caroline/photos/es/carolina-carbasse-dentista-en-javea-271.jpg Carolina Carbasse : https://es.carolyncarbasse.com/caroline/photos/es/carolina-carbasse-zen-smile-spa-82.jpg Carolina Carbasse : https://es.carolyncarbasse.com/caroline/photos/es/carolina-carbasse-zen-smile-spa-259.jpg Carolina Carbasse : https://es.carolyncarbasse.com/caroline/photos/es/carolina-carbasse-zen-smile-spa-375.jpg Carolina Carbasse : https://es.carolyncarbasse.com/caroline/photos/es/dentista-en-javea-carolina-carbasse-60.jpg Carolina Carbasse : https://es.carolyncarbasse.com/caroline/photos/es/dentista-en-javea-carolina-carbasse-175.jpg Carolina Carbasse : https://es.carolyncarbasse.com/caroline/photos/es/zen-smile-spa-carolina-carbasse-344.jpg Carolina Carbasse : https://es.carolyncarbasse.com/caroline/photos/es/zen-smile-spa-carolina-carbasse-447.jpg Carolina Carbasse : https://es.carolyncarbasse.com/caroline/photos/es/carolina-carbasse-dentista-en-javea-179.jpg Carolina Carbasse : https://es.carolyncarbasse.com/caroline/photos/es/carolina-carbasse-dentista-en-javea-96.jpg Carolina Carbasse : https://es.carolyncarbasse.com/caroline/photos/es/carolina-carbasse-dentista-en-javea-342.jpg Carolina Carbasse : https://es.carolyncarbasse.com/caroline/photos/es/zen-smile-spa-carolina-carbasse-321.jpg Carolina Carbasse : https://es.carolyncarbasse.com/caroline/photos/es/dentista-en-javea-carolina-carbasse-418.jpg Carolina Carbasse : https://es.carolyncarbasse.com/caroline/photos/es/zen-smile-spa-carolina-carbasse-442.jpg Carolina Carbasse : https://es.carolyncarbasse.com/caroline/photos/es/zen-smile-spa-carolina-carbasse-268.jpg Carolina Carbasse : https://es.carolyncarbasse.com/caroline/photos/es/carolina-carbasse-zen-smile-spa-464.jpg Carolina Carbasse : https://es.carolyncarbasse.com/caroline/photos/es/zen-smile-spa-carolina-carbasse-68.jpg Carolina Carbasse : https://es.carolyncarbasse.com/caroline/photos/es/carolina-carbasse-zen-smile-spa-3.jpg Carolina Carbasse : https://es.carolyncarbasse.com/caroline/photos/es/dentista-en-javea-carolina-carbasse-98.jpg Carolina Carbasse : https://es.carolyncarbasse.com/caroline/photos/es/carolina-carbasse-zen-smile-spa-198.jpg Carolina Carbasse : https://es.carolyncarbasse.com/caroline/photos/es/carolina-carbasse-dentista-en-javea-281.jpg Carolina Carbasse : https://es.carolyncarbasse.com/caroline/photos/es/carolina-carbasse-zen-smile-spa-150.jpg Carolina Carbasse : https://es.carolyncarbasse.com/caroline/photos/es/carolina-carbasse-dentista-en-javea-104.jpg Carolina Carbasse : https://es.carolyncarbasse.com/caroline/photos/es/dentista-en-javea-carolina-carbasse-372.jpg Carolina Carbasse : https://es.carolyncarbasse.com/caroline/photos/es/carolina-carbasse-dentista-en-javea-189.jpg Carolina Carbasse : https://es.carolyncarbasse.com/caroline/photos/es/carolina-carbasse-zen-smile-spa-432.jpg Carolina Carbasse : https://es.carolyncarbasse.com/caroline/photos/es/dentista-en-javea-carolina-carbasse-243.jpg Carolina Carbasse : https://es.carolyncarbasse.com/caroline/photos/es/zen-smile-spa-carolina-carbasse-255.jpg Carolina Carbasse : https://es.carolyncarbasse.com/caroline/photos/es/carolina-carbasse-zen-smile-spa-360.jpg Carolina Carbasse : https://es.carolyncarbasse.com/caroline/photos/es/carolina-carbasse-dentista-en-javea-415.jpg Carolina Carbasse : https://es.carolyncarbasse.com/caroline/photos/es/carolina-carbasse-zen-smile-spa-69.jpg Carolina Carbasse : https://es.carolyncarbasse.com/caroline/photos/es/carolina-carbasse-zen-smile-spa-279.jpg Carolina Carbasse : https://es.carolyncarbasse.com/caroline/photos/es/dentista-en-javea-carolina-carbasse-327.jpg Carolina Carbasse : https://es.carolyncarbasse.com/caroline/photos/es/carolina-carbasse-zen-smile-spa-13.jpg Carolina Carbasse : https://es.carolyncarbasse.com/caroline/photos/es/zen-smile-spa-carolina-carbasse-26.jpg Carolina Carbasse : https://es.carolyncarbasse.com/caroline/photos/es/carolina-carbasse-zen-smile-spa-43.jpg Carolina Carbasse : https://es.carolyncarbasse.com/caroline/photos/es/carolina-carbasse-zen-smile-spa-238.jpg Carolina Carbasse : https://es.carolyncarbasse.com/caroline/photos/es/dentista-en-javea-carolina-carbasse-93.jpg Carolina Carbasse : https://es.carolyncarbasse.com/caroline/photos/es/zen-smile-spa-carolina-carbasse-489.jpg Carolina Carbasse : https://es.carolyncarbasse.com/caroline/photos/es/zen-smile-spa-carolina-carbasse-462.jpg Carolina Carbasse : https://es.carolyncarbasse.com/caroline/photos/es/carolina-carbasse-zen-smile-spa-427.jpg Carolina Carbasse : https://es.carolyncarbasse.com/caroline/photos/es/dentista-en-javea-carolina-carbasse-77.jpg Carolina Carbasse : https://es.carolyncarbasse.com/caroline/photos/es/carolina-carbasse-zen-smile-spa-304.jpg Carolina Carbasse : https://es.carolyncarbasse.com/caroline/photos/es/carolina-carbasse-dentista-en-javea-280.jpg Carolina Carbasse : https://es.carolyncarbasse.com/caroline/photos/es/zen-smile-spa-carolina-carbasse-55.jpg Carolina Carbasse : https://es.carolyncarbasse.com/caroline/photos/es/carolina-carbasse-dentista-en-javea-292.jpg Carolina Carbasse : https://es.carolyncarbasse.com/caroline/photos/es/carolina-carbasse-dentista-en-javea-482.jpg Carolina Carbasse : https://es.carolyncarbasse.com/caroline/photos/es/zen-smile-spa-carolina-carbasse-458.jpg Carolina Carbasse : https://es.carolyncarbasse.com/caroline/photos/es/zen-smile-spa-carolina-carbasse-424.jpg Carolina Carbasse : https://es.carolyncarbasse.com/caroline/photos/es/zen-smile-spa-carolina-carbasse-297.jpg Carolina Carbasse : https://es.carolyncarbasse.com/caroline/photos/es/carolina-carbasse-dentista-en-javea-90.jpg Carolina Carbasse : https://es.carolyncarbasse.com/caroline/photos/es/dentista-en-javea-carolina-carbasse-417.jpg Carolina Carbasse : https://es.carolyncarbasse.com/caroline/photos/es/dentista-en-javea-carolina-carbasse-408.jpg Carolina Carbasse : https://es.carolyncarbasse.com/caroline/photos/es/dentista-en-javea-carolina-carbasse-330.jpg Carolina Carbasse : https://es.carolyncarbasse.com/caroline/photos/es/carolina-carbasse-dentista-en-javea-499.jpg Carolina Carbasse : https://es.carolyncarbasse.com/caroline/photos/es/carolina-carbasse-zen-smile-spa-471.jpg Carolina Carbasse : https://es.carolyncarbasse.com/caroline/photos/es/carolina-carbasse-dentista-en-javea-428.jpg Carolina Carbasse : https://es.carolyncarbasse.com/caroline/photos/es/carolina-carbasse-zen-smile-spa-85.jpg Carolina Carbasse : https://es.carolyncarbasse.com/caroline/photos/es/zen-smile-spa-carolina-carbasse-106.jpg Carolina Carbasse : https://es.carolyncarbasse.com/caroline/photos/es/dentista-en-javea-carolina-carbasse-122.jpg Carolina Carbasse : https://es.carolyncarbasse.com/caroline/photos/es/dentista-en-javea-carolina-carbasse-341.jpg Carolina Carbasse : https://es.carolyncarbasse.com/caroline/photos/es/carolina-carbasse-zen-smile-spa-197.jpg Carolina Carbasse : https://es.carolyncarbasse.com/caroline/photos/es/carolina-carbasse-dentista-en-javea-111.jpg Carolina Carbasse : https://es.carolyncarbasse.com/caroline/photos/es/zen-smile-spa-carolina-carbasse-34.jpg Carolina Carbasse : https://es.carolyncarbasse.com/caroline/photos/es/dentista-en-javea-carolina-carbasse-42.jpg Carolina Carbasse : https://es.carolyncarbasse.com/caroline/photos/es/carolina-carbasse-dentista-en-javea-171.jpg Carolina Carbasse : https://es.carolyncarbasse.com/caroline/photos/es/zen-smile-spa-carolina-carbasse-441.jpg Carolina Carbasse : https://es.carolyncarbasse.com/caroline/photos/es/zen-smile-spa-carolina-carbasse-457.jpg Carolina Carbasse : https://es.carolyncarbasse.com/caroline/photos/es/carolina-carbasse-zen-smile-spa-87.jpg Carolina Carbasse : https://es.carolyncarbasse.com/caroline/photos/es/dentista-en-javea-carolina-carbasse-41.jpg Carolina Carbasse : https://es.carolyncarbasse.com/caroline/photos/es/carolina-carbasse-dentista-en-javea-14.jpg Carolina Carbasse : https://es.carolyncarbasse.com/caroline/photos/es/carolina-carbasse-dentista-en-javea-367.jpg Carolina Carbasse : https://es.carolyncarbasse.com/caroline/photos/es/dentista-en-javea-carolina-carbasse-405.jpg Carolina Carbasse : https://es.carolyncarbasse.com/caroline/photos/es/zen-smile-spa-carolina-carbasse-343.jpg Carolina Carbasse : https://es.carolyncarbasse.com/caroline/photos/es/carolina-carbasse-zen-smile-spa-486.jpg Carolina Carbasse : https://es.carolyncarbasse.com/caroline/photos/es/carolina-carbasse-zen-smile-spa-329.jpg Carolina Carbasse : https://es.carolyncarbasse.com/caroline/photos/es/dentista-en-javea-carolina-carbasse-334.jpg Carolina Carbasse : https://es.carolyncarbasse.com/caroline/photos/es/zen-smile-spa-carolina-carbasse-498.jpg Carolina Carbasse : https://es.carolyncarbasse.com/caroline/photos/es/zen-smile-spa-carolina-carbasse-103.jpg Carolina Carbasse : https://es.carolyncarbasse.com/caroline/photos/es/dentista-en-javea-carolina-carbasse-289.jpg Carolina Carbasse : https://es.carolyncarbasse.com/caroline/photos/es/dentista-en-javea-carolina-carbasse-291.jpg Carolina Carbasse : https://es.carolyncarbasse.com/caroline/photos/es/carolina-carbasse-zen-smile-spa-369.jpg Carolina Carbasse : https://es.carolyncarbasse.com/caroline/photos/es/dentista-en-javea-carolina-carbasse-25.jpg Carolina Carbasse : https://es.carolyncarbasse.com/caroline/photos/es/dentista-en-javea-carolina-carbasse-282.jpg Carolina Carbasse : https://es.carolyncarbasse.com/caroline/photos/es/carolina-carbasse-zen-smile-spa-454.jpg Carolina Carbasse : https://es.carolyncarbasse.com/caroline/photos/es/carolina-carbasse-zen-smile-spa-434.jpg Carolina Carbasse : https://es.carolyncarbasse.com/caroline/photos/es/carolina-carbasse-zen-smile-spa-384.jpg Carolina Carbasse : https://es.carolyncarbasse.com/caroline/photos/es/zen-smile-spa-carolina-carbasse-413.jpg Carolina Carbasse : https://es.carolyncarbasse.com/caroline/photos/es/zen-smile-spa-carolina-carbasse-131.jpg Carolina Carbasse : https://es.carolyncarbasse.com/caroline/photos/es/carolina-carbasse-zen-smile-spa-435.jpg Carolina Carbasse : https://es.carolyncarbasse.com/caroline/photos/es/carolina-carbasse-dentista-en-javea-157.jpg Carolina Carbasse : https://es.carolyncarbasse.com/caroline/photos/es/carolina-carbasse-zen-smile-spa-64.jpg Carolina Carbasse : https://es.carolyncarbasse.com/caroline/photos/es/carolina-carbasse-dentista-en-javea-324.jpg Carolina Carbasse : https://es.carolyncarbasse.com/caroline/photos/es/dentista-en-javea-carolina-carbasse-484.jpg Carolina Carbasse : https://es.carolyncarbasse.com/caroline/photos/es/carolina-carbasse-dentista-en-javea-393.jpg Carolina Carbasse : https://es.carolyncarbasse.com/caroline/photos/es/carolina-carbasse-dentista-en-javea-83.jpg Carolina Carbasse : https://es.carolyncarbasse.com/caroline/photos/es/carolina-carbasse-zen-smile-spa-246.jpg Carolina Carbasse : https://es.carolyncarbasse.com/caroline/photos/es/carolina-carbasse-dentista-en-javea-70.jpg Carolina Carbasse : https://es.carolyncarbasse.com/caroline/photos/es/zen-smile-spa-carolina-carbasse-366.jpg Carolina Carbasse : https://es.carolyncarbasse.com/caroline/photos/es/carolina-carbasse-zen-smile-spa-267.jpg Carolina Carbasse : https://es.carolyncarbasse.com/caroline/photos/es/carolina-carbasse-zen-smile-spa-411.jpg Carolina Carbasse : https://es.carolyncarbasse.com/caroline/photos/es/zen-smile-spa-carolina-carbasse-165.jpg Carolina Carbasse : https://es.carolyncarbasse.com/caroline/photos/es/zen-smile-spa-carolina-carbasse-473.jpg Carolina Carbasse : https://es.carolyncarbasse.com/caroline/photos/es/dentista-en-javea-carolina-carbasse-11.jpg Carolina Carbasse : https://es.carolyncarbasse.com/caroline/photos/es/zen-smile-spa-carolina-carbasse-112.jpg Carolina Carbasse : https://es.carolyncarbasse.com/caroline/photos/es/dentista-en-javea-carolina-carbasse-164.jpg Carolina Carbasse : https://es.carolyncarbasse.com/caroline/photos/es/carolina-carbasse-dentista-en-javea-50.jpg Carolina Carbasse : https://es.carolyncarbasse.com/caroline/photos/es/carolina-carbasse-zen-smile-spa-80.jpg Carolina Carbasse : https://es.carolyncarbasse.com/caroline/photos/es/dentista-en-javea-carolina-carbasse-409.jpg Carolina Carbasse : https://es.carolyncarbasse.com/caroline/photos/es/carolina-carbasse-zen-smile-spa-278.jpg Carolina Carbasse : https://es.carolyncarbasse.com/caroline/photos/es/zen-smile-spa-carolina-carbasse-217.jpg Carolina Carbasse : https://es.carolyncarbasse.com/caroline/photos/es/zen-smile-spa-carolina-carbasse-479.jpg Carolina Carbasse : https://es.carolyncarbasse.com/caroline/photos/es/zen-smile-spa-carolina-carbasse-303.jpg Carolina Carbasse : https://es.carolyncarbasse.com/caroline/photos/es/zen-smile-spa-carolina-carbasse-33.jpg Carolina Carbasse : https://es.carolyncarbasse.com/caroline/photos/es/carolina-carbasse-dentista-en-javea-207.jpg Carolina Carbasse : https://es.carolyncarbasse.com/caroline/photos/es/carolina-carbasse-zen-smile-spa-461.jpg Carolina Carbasse : https://es.carolyncarbasse.com/caroline/photos/es/carolina-carbasse-zen-smile-spa-258.jpg Carolina Carbasse : https://es.carolyncarbasse.com/caroline/photos/es/zen-smile-spa-carolina-carbasse-241.jpg Carolina Carbasse : https://es.carolyncarbasse.com/caroline/photos/es/zen-smile-spa-carolina-carbasse-110.jpg Carolina Carbasse : https://es.carolyncarbasse.com/caroline/photos/es/carolina-carbasse-zen-smile-spa-305.jpg Carolina Carbasse : https://es.carolyncarbasse.com/caroline/photos/es/carolina-carbasse-zen-smile-spa-136.jpg Carolina Carbasse : https://es.carolyncarbasse.com/caroline/photos/es/carolina-carbasse-dentista-en-javea-226.jpg Carolina Carbasse : https://es.carolyncarbasse.com/caroline/photos/es/carolina-carbasse-dentista-en-javea-24.jpg Carolina Carbasse : https://es.carolyncarbasse.com/caroline/photos/es/dentista-en-javea-carolina-carbasse-121.jpg Carolina Carbasse : https://es.carolyncarbasse.com/caroline/photos/es/zen-smile-spa-carolina-carbasse-378.jpg Carolina Carbasse : https://es.carolyncarbasse.com/caroline/photos/es/carolina-carbasse-zen-smile-spa-465.jpg Carolina Carbasse : https://es.carolyncarbasse.com/caroline/photos/es/carolina-carbasse-dentista-en-javea-480.jpg Carolina Carbasse : https://es.carolyncarbasse.com/caroline/photos/es/carolina-carbasse-dentista-en-javea-496.jpg Carolina Carbasse : https://es.carolyncarbasse.com/caroline/photos/es/carolina-carbasse-dentista-en-javea-263.jpg Carolina Carbasse : https://es.carolyncarbasse.com/caroline/photos/es/carolina-carbasse-zen-smile-spa-89.jpg Carolina Carbasse : https://es.carolyncarbasse.com/caroline/photos/es/dentista-en-javea-carolina-carbasse-17.jpg Carolina Carbasse : https://es.carolyncarbasse.com/caroline/photos/es/zen-smile-spa-carolina-carbasse-469.jpg Carolina Carbasse : https://es.carolyncarbasse.com/caroline/photos/es/carolina-carbasse-zen-smile-spa-126.jpg Carolina Carbasse : https://es.carolyncarbasse.com/caroline/photos/es/carolina-carbasse-zen-smile-spa-132.jpg Carolina Carbasse : https://es.carolyncarbasse.com/caroline/photos/es/carolina-carbasse-dentista-en-javea-94.jpg Carolina Carbasse : https://es.carolyncarbasse.com/caroline/photos/es/zen-smile-spa-carolina-carbasse-350.jpg Carolina Carbasse : https://es.carolyncarbasse.com/caroline/photos/es/carolina-carbasse-dentista-en-javea-193.jpg Carolina Carbasse : https://es.carolyncarbasse.com/caroline/photos/es/carolina-carbasse-zen-smile-spa-338.jpg Carolina Carbasse : https://es.carolyncarbasse.com/caroline/photos/es/carolina-carbasse-zen-smile-spa-445.jpg Carolina Carbasse : https://es.carolyncarbasse.com/caroline/photos/es/carolina-carbasse-zen-smile-spa-151.jpg Carolina Carbasse : https://es.carolyncarbasse.com/caroline/photos/es/dentista-en-javea-carolina-carbasse-99.jpg Carolina Carbasse : https://es.carolyncarbasse.com/caroline/photos/es/carolina-carbasse-zen-smile-spa-395.jpg